整形なしでフェイスラインをキレイに
顔の歪み Eライン エラ張り
気になる部分を整える

マウスピース審美矯正

プラチナ
プロバイダー
取得

世界シェア
No.1

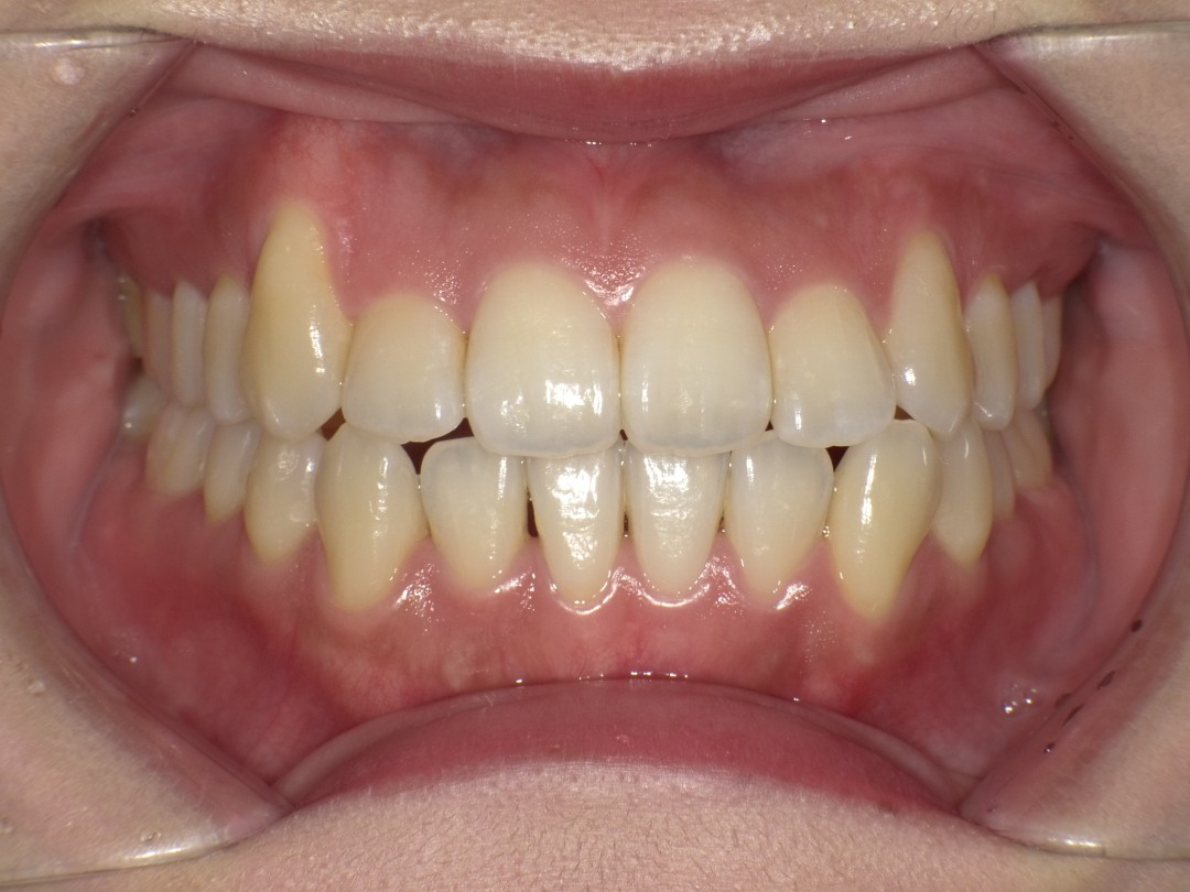
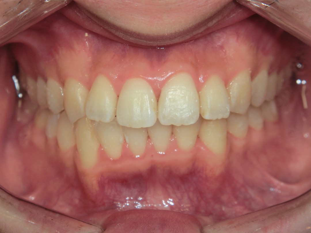
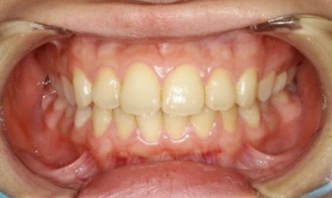
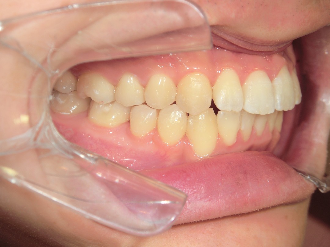
フェイスライン(Eライン)を
整えるマウスピース矯正

BEFORE

AFTER

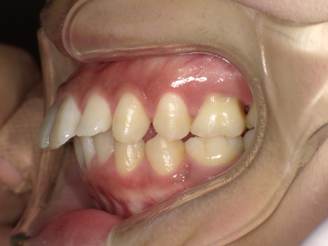
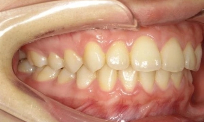
さらに

矯正+ボツリヌス療法で
驚きの小顔効果

BEFORE

AFTER

デンタルローン使用時

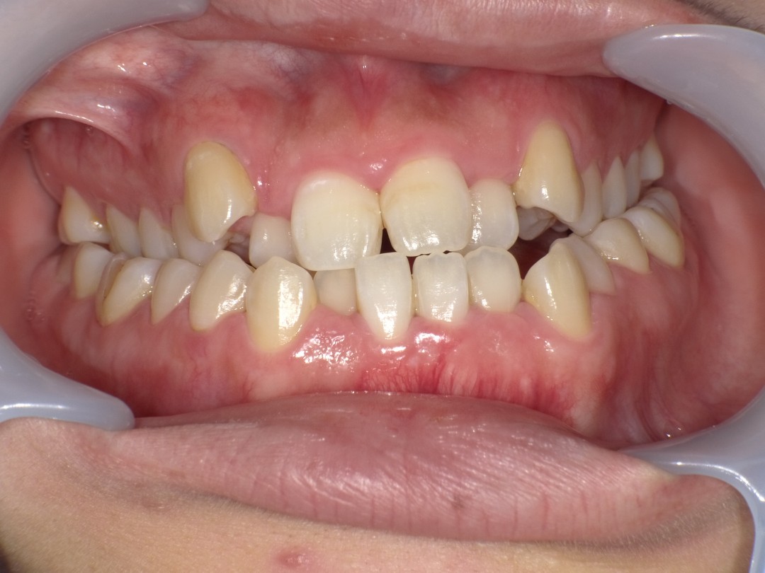
顔の歪み
改善

埼玉
トップランクの
認定医

矯正相談
無料

医療法人 隆聖会 浦和吉見デンタルクリニック

シミュレーション体験

SIMULATION

矯正でどれだけ変わるか気になりませんか?
「治療後の仕上がり」を
最初にシミュレーション!

  • 他院では有料のシミュレーションが
    無料相談で受けられます。

  • 相談のみの方でもご利用できます!

お電話でのご予約はこちら

お客様の現在の歯列の状況によって
矯正にかかる金額と期間をお知らせします。
さらにマウスピース、ワイヤーの可否、
部分矯正の可否も合わせてご案内します。

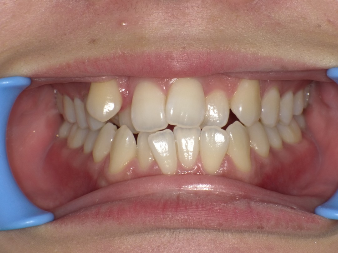
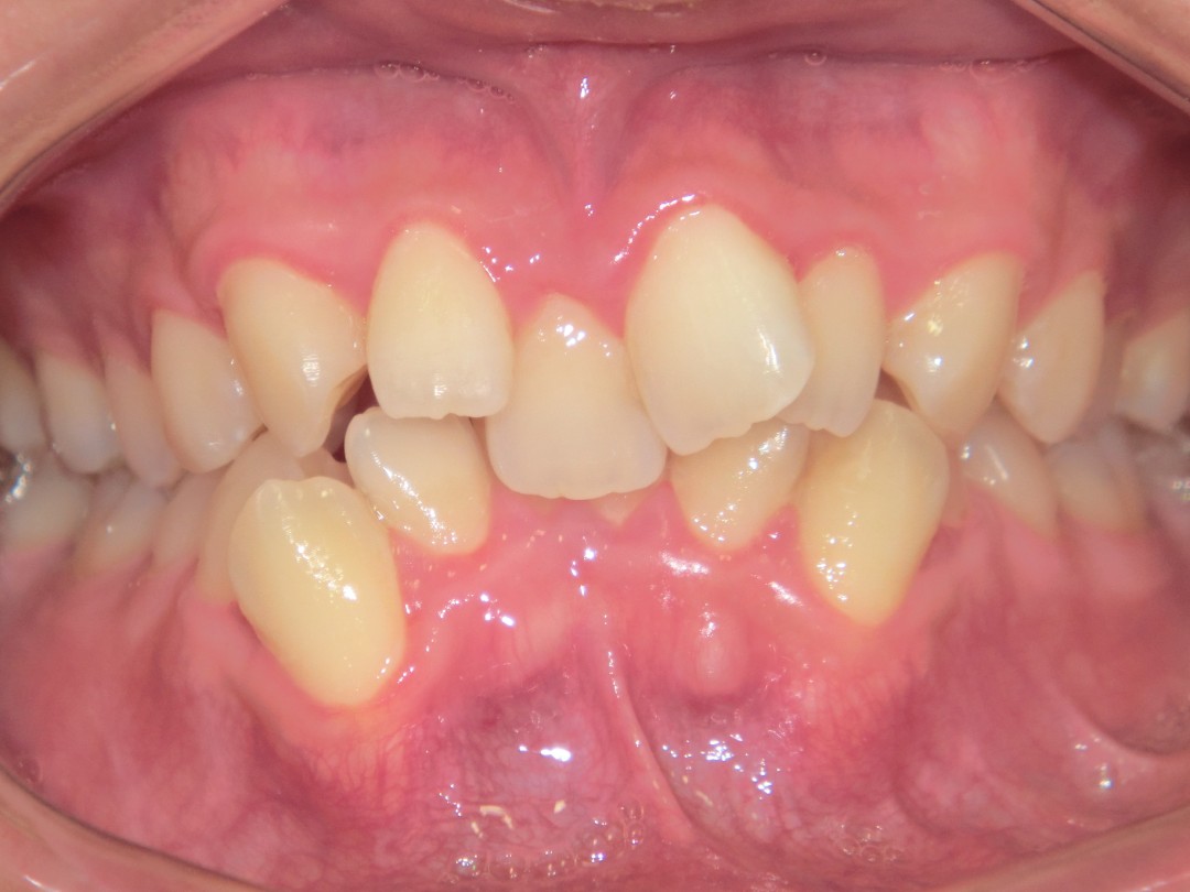
下記のような写真を撮影ください。

こんなお悩みはありませんか?

顔が左右非対称

横顔のEラインが
整わない
(口ゴボや受け口)

エラが張っている

当院のインビザライン矯正なら
歯並びを綺麗にしながら
フェイスラインも整えます。

ドクター紹介

DOCTOR

総院長

吉見 洋志

  • ● 北海道大学
    客員臨床教授
  • ● セブ医科大学
    客員教授
  • ● 鶴見大学
    非常勤講師

治療におけるモットーは、患者さまにとって最良の治療を提供すること。そのために、患者さまのお話に耳を傾け、一人ひとりのお口に合わせたオーダーメイドの矯正プログラムを実施しています。

Question 01

マウスピースの種類はどれがいいの?

機能面・価格面から
世界No.1シェアのインビザラインがオススメです!

当院では、世界シェアNo.1のインビザラインによる治療を行います。インビザラインは100カ国以上の国々で年間200万人の人の矯正を手掛け、圧倒的実績を誇ります。

世界シェアNo.1を誇るのは、歴史がある、実績があるといった理由だけではありません。矯正器具として、矯正治療として極めて優れていることが理由です。

インビザラインが選ばれる理由

理由1

特殊素材でアライナー(マウスピース型矯正装置)を作成

260の異なる材料をテストし、最も歯が精密に、速く動くカスタム素材スマートトラック(特許取得)でアライナー(マウスピース)を作成します。持続的に力が加わる効果が高く、優れた矯正治療を可能にします。

理由2

優れた専用スキャナ×AI技術

インビザラインは、毎秒6000枚の画像を撮影する専用スキャナと、矯正に特化したAI技術を用いて治療計画を作成する最も先進的な矯正システムです。 高精度に歯の動きを予測し、オーダーメイドで最適な治療計画を作成します。

理由3

アタッチメントによる正確な歯列矯正

通常マウスピースには“引っ掛かり”がないため、歯に力が伝わりづらく、ワイヤー矯正よりも歯列矯正の力や正確さが低いと言われます。 インビザラインは、正確で繊細な歯の動きを実現するため、歯に“引っ掛かり(アタッチメント)”をつけます。これにより正確な矯正治療を可能にしています。

他のマウスピースとの違い

ABOUT INVISALIGN

Question 02

どんな症例にも対応できるの?

当院の矯正は、どんな症例でも対応できます!

安価なマウスピースは前歯矯正がメインでそれには失敗も多いことや、他院のインビザラインも矯正医の技術によって難しい症例の対応可否が変わります。

インビザラインの難しい症例も対応できます

インビザラインも他のマウスピースと同様に、奥歯を動かしたり、抜歯して歯を動かす治療や、重度な叢生など(歯の移動量が大きい治療)を苦手としています。 当院は、インビザライン矯正の実績も豊富なため、他院では受けて頂けない難しい症例時も対応できます。

※症例によっては、ワイヤーのコンビネーション治療等もご提案できます。

各マウスピースごとの
対応可能症例

AVAILABLE

Question 03

フェイスラインも綺麗にできる?

当院のインビザライン治療は噛み合わせのズレによる顎のズレ・顔の歪みに対応できます!

対応症例
1

顔の歪み

片側で噛む癖や姿勢のバランスによって噛み合わせがズレてしまった場合、時間が経つにつれて体の歪みや変形に繋がり、様々な弊害が発生するため、適切な位置に戻してあげる必要があります。

対応症例
2

口ゴボ・しゃくれ・受け口

横顔がEラインに整うためには口ゴボ・しゃくれ・受け口を改善する必要があります。こうした症状は「口呼吸」や「噛み合わせのズレ」などが原因であり、矯正治療によってフェイスラインも同時に改善できます。

対応症例
3

エラ張り・歯茎の突出

エラ張り、歯ぎしり、歯茎の突出などの症状の方には特に「ボツリヌス療法」をおすすめしています。食いしばりによって肥大化した筋肉にピンポイントでボツリヌス注射をすることで小顔効果もあります。

埼玉だけではなく、
全国から来院いただいております。

当院が選ばれる理由

WHY CHOOSE US

POINT
01

難しい症例にも対応

経験してきた症例数が圧倒的に多いため、他院では断られた重度な症状にも追加料金なしで対応しています。

5年保証

矯正終了後も5年間は追加マウスピースが無料になりますので、より安心して矯正を受けられます。

POINT
02

POINT
03

加速矯正

当院では、加速装置としてPBMを導入しており、2〜3年かかるような重度な歯並びでも 治療期間を約半分に短縮できます。

ボツリヌス療法

当院では通称「ボトックス」と言われる「ボツリヌス療法」を行なっています。矯正と同時にボツリヌス注射を行うことで「食いしばり」を軽減します。さらに「エラ張り」や「歯茎の突出」などを解消して小顔効果を得ることができます。

POINT
04

過去に矯正を失敗した経験をお持ちの方
歯科矯正が中々終わらない方は
ぜひ一度ご相談ください。

インビザラインの症例

CASE

CASE. 01

BEFORE

AFTER

CASE. 02

BEFORE

AFTER

CASE. 03

BEFORE

AFTER

CASE. 04

BEFORE

AFTER

CASE. 05

BEFORE

AFTER

※価格は900,000円。
マウスピース型矯正装置を用いて、歯並びを整えた症例。治療のリスクとしては、痛み・治療後の後戻り・歯根吸収・歯髄壊死・歯肉退縮などが代表的。また、マウスピース矯正の装着時間が短いことにより、治療期間が長引くこともある。

価 格

PRICE

月々3,600円〜9,600円
矯正相談は無料で行っています!

価格の詳細を見る

価格詳細

治療費の目安 月々のお支払いの目安
インビザライン
GO
軽度〜中度
36万円 3,600円〜
インビザライン
フル
中度〜重度
90万円
9,600円~
加速プラン
インビザラインフル+加速
99万円
10,800円~
ボツリヌス療法
矯正とセットでお得
ドイツ製ゼオミン:
33,000円
プランによってご案内
韓国製ナボタ:
26,180円

※税込価格
※実質年率5.9% 月々分割最大120回まで可能です。
※「現状の歯並びの状態」「どこまで歯をキレイにしたいか」により治療費用・期間は変動いたします。
※ワイヤー矯正治療が必要な場合でも、上記のメニューから追加料金はございません。
※自由診療になります。

難しい症例でも
追加料金なしで直せます

上記の矯正治療費から
5%〜45%お安くなります

国の定める医療費控除という制度を活用することで、上記矯正治療費からさらに5〜45%が還付金として返ってきます。医療費控除は1年間の所得や支払った医療費に応じて還付金が変動します。

所得500万円の人が
40万円のマウスピース治療を
行ったときの還付金は?

シミュレーション体験

SIMULATION

矯正でどれだけ変わるか気になりませんか?
「治療後の仕上がり」を
最初にシミュレーション!

  • 他院では有料のシミュレーションが
    無料相談で受けられます。

  • 相談のみの方でもご利用できます!

お電話でのご予約はこちら

お客様の現在の歯列の状況によって
矯正にかかる金額と期間をお知らせします。
さらにマウスピース、ワイヤーの可否、
部分矯正の可否も合わせてご案内します。

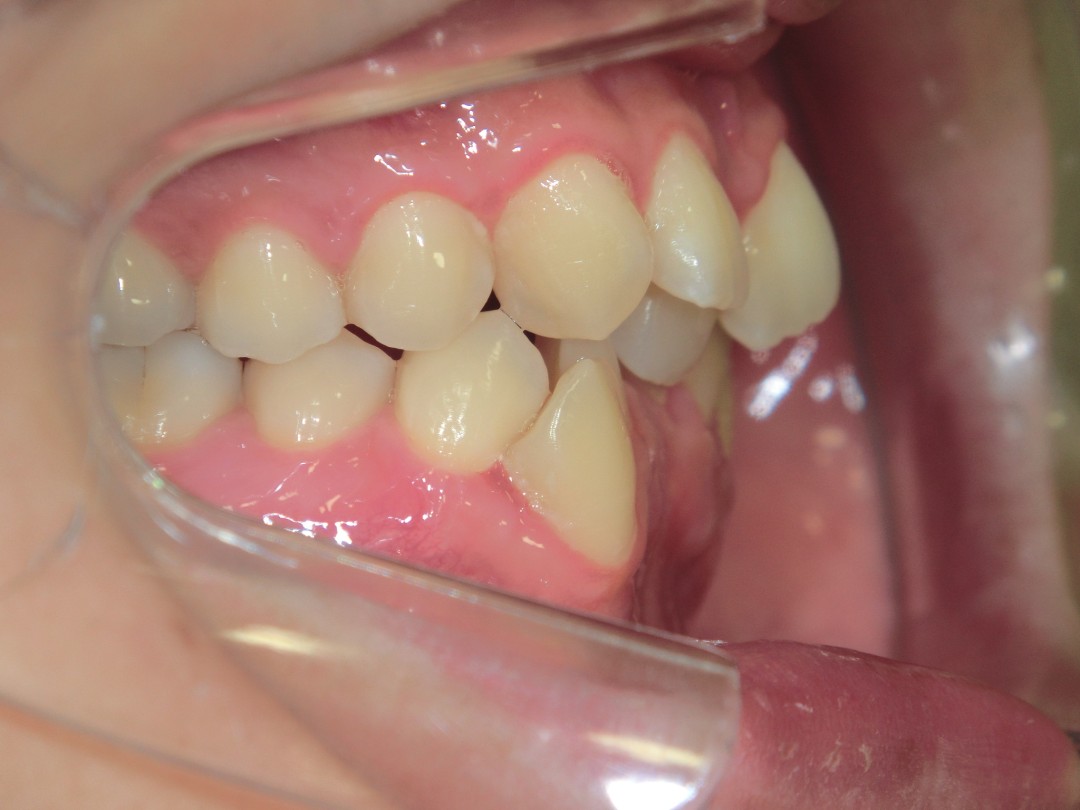
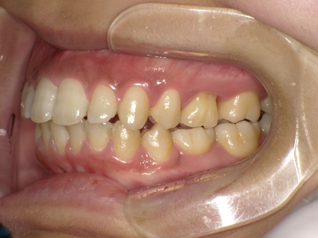
下記のような写真を撮影ください。

浦和吉見歯科クリニックのご紹介

INTRODUCTION

お支払い方法

PAYMENT METHOD

当クリニックでは、4つの方法でお支払いいただけます。

現金支払い

当クリニックの受付にて、現金一括でお支払いいただきます。

銀行振込

当クリニック指定の銀行口座にお振込みください。

クレジットカード

各種クレジットカードでのお支払いが可能です。

デンタルローン

デンタルローンをご利用いただけます。(分割数最大120回)

LINEでオンライン事前相談

CONSULTATION

事前にお口の中のお写真を撮影して下記方法にてお送りください。
マウスピース矯正治療の適応の可否、一般的に想定される治療期間などの簡易診断を行います。

来院前に、専任のカウンセラーが皆さまのお話しをお聞きし、担当ドクターから簡易診断の結果をお伝えいたします。
事前にオンラインで簡易診断と無料カウンセリングを受けられますので、矯正治療をご検討の方はお気軽にお問い合わせください。

Step 01

下記リンクからLINE登録をお願いします。

Step 02

LINEにて、お口の中のお写真をお送りください。(合計5カット必要です)

Step 03

写真とご一緒に、氏名、生年月日、相談内容をご入力ください。

Step 04

LINE上でオンライン相談の希望日時をお伺いし、日程調整を行っていきます。

撮影のポイント
[LINEでお送りいただく写真]

スマートフォンのインカメラでの撮影が簡単です。 下記の撮影例を参考に撮影してください。合計で5カット必要です。

歯を閉じて撮影(3カット)

できるだけ奥の歯まで見えるようにしましょう。
撮影時は奥歯までしっかり咬んだ状態です。
左右撮影のとき見えにくい場合は片手で口角を引っ張ってください。

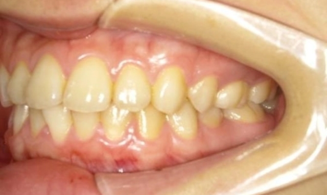
1. 正面

2. 正面右側

3. 正面左側

口を開けて撮影(2カット)

できるだけ大きく口を開けて撮影しましょう。
暗くなりやすいので、光を取り入れて全体が見えるように撮影しましょう。
上あご撮影の際はスマートフォンを逆さに持つと撮影しやすいです。
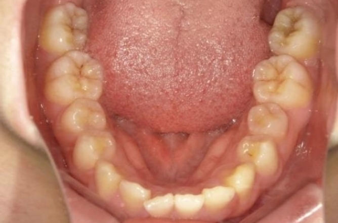
下あご撮影の際は出来るだけ舌は引きましょう。

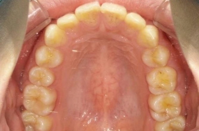
4. 上部の歯(上あご)

5. 下部の歯(下あご)

シミュレーション体験

SIMULATION

矯正でどれだけ変わるか気になりませんか?
「治療後の仕上がり」を
最初にシミュレーション!

  • 他院では有料のシミュレーションが
    無料相談で受けられます。

  • 相談のみの方でもご利用できます!

お電話でのご予約はこちら

お客様の現在の歯列の状況によって
矯正にかかる金額と期間をお知らせします。
さらにマウスピース、ワイヤーの可否、
部分矯正の可否も合わせてご案内します。

下記のような写真を撮影ください。

よくある質問

Q & A

Q

インビザラインの治療費はどれくらいかかかりますか?

A

基本的に保険が適用されない「自費診療」になります。費用は歯科医院によって幅があり、また、歯の状態や治療期間等によっても違いますので、直接、歯科医院にご相談ください。

Q

相談するだけでも費用はかかりますか?

A

無料相談や、無料事前カウンセリングを行っている医院もあります。カウンセリングの他に検査などを行う場合、別途検査などに費用がかかる場合もありますので、事前に歯科医院にお問合せすることを、おすすめします。

Q

治療期間はどれくらいですか?

A

インビザラインにおける治療期間は歯科医師の治療方針や治療計画等によって異なります。また、患者様の口腔内の状態によっても異なるため、まずは歯科医院にご相談ください。

Q

インビザラインで治療できる歯並びに制限はありますか?

A

ワイヤーを使った通常の矯正治療の場合と同様の適用範囲と考えられています。ただし、担当医の治療方針、使用する装置の種類等によって対応できる範囲が異なります。詳しくは歯科医院へご相談ください。

Q

虫歯やインプラントがあってもインビザラインで治療できますか?

A

一般的に、矯正装置をつける前に虫歯や歯周病の治療を済ませます。インプラントは動かせませんが、差し歯は動かすことができます。ブリッジなど連結されている補綴物がある場合、治療方針によっては連結部を切断したり、いったん撤去して歯を動かせる場合もありますが、患者様の口腔内の状態によって大きく異なります。

Q

インビザラインで治療中の飲食で気を付けることはありますか?

A

マウスピースを着脱することで、食べ物の制限は基本的にはありません。水を飲む際にマウスピースを外す必要はありませんが、コーヒーなど色素が強い飲み物を飲む場合には、マウスピースに色素が沈着してしまう可能性があります。また無色透明な飲み物でも、少量でも糖分や酸味のある飲み物は、虫歯のリスクになりますので、使用法に関しては、歯科医師にご相談ください。

Q

インビザラインの矯正治療はどれくらい痛いですか?

A

痛みの感覚に個人差はありますが、インビザラインは、段階的に歯を動かしながら歯並びを矯正するので、一般的に痛みが少ないと考えられています。

Q

治療の終了後にも保定装置をつける必要がありますか?

A

はい。従来型のワイヤーを使った矯正治療とマウスピースを使った矯正治療、どちらも治療後には歯を最終位置に維持するためにリテーナー(保定装置)を装着する必要があります。インビザライン・ジャパンが提供するビベラ・リテーナー(保定装置)は透明に近く目立ちにくく、見た目は他の当社マウスピース製品とほとんど変わりません。

浦和区のマウスピース型矯正装置「インビザライン」治療

浦和吉見歯科クリニック

マウスピース 矯正インビザライン専用サイト

〒330ー0063
埼玉県さいたま市浦和区高砂1-13-12 MiRiスクエア4階

JR「浦和駅」西口より徒歩3分

休診日…木曜・日曜・土曜午後・祝日
(※祝日がある週の木曜は診療しております)

土曜日の午前は9:00〜13:30まで

お電話でのご予約はこちら

お客様の現在の歯列の状況によって
矯正にかかる金額と期間をお知らせします。
さらにマウスピース、ワイヤーの可否、
部分矯正の可否も合わせてご案内します。

下記のような写真を撮影ください。